Doenças ósseas com células gigantes multinucleadas
Link: http://www.rbo.org.br/detalhes/247/pt-BR/doencas-osseas-com-celulas-gigantes-multinucleadas-
Revista Brasileira de Ortopedia
JOSÉ DONATO DE PRÓSPERO, PEDRO PÉRICLES RIBEIRO BAPTISTA, CRISTIANO LUIZ HORTA DE LIMA JR.
Vol.34 Número 3 / 1999
RESUMO
Os autores abordam o tema do diagnóstico diferencial anatomopatológico de doenças ósseas que têm em comum em sua estrutura histológica as células gigantes multinucleadas com caracteres de osteoclastos ou que a eles se assemelham. Os osteoclastos estão normalmente presentes na borda das traves ósseas, em lacunas de Howship quando da reabsorção fisiológica. Produzem enzimas (colagenase e hialuronidase) e agem sob estimulo do paratormônio. Aumentam em número e às vezes são numerosos, quando há aumento da reabsorção óssea, fisiológica ou não. Células semelhantes, também gigantes multinucleadas, participam do substrato histológico de múltiplos processos tumorais, inflamatórios, metabólicos ou de causas desconhecidas, podendo levar a erros indesejáveis de diagnóstico e, conseqüentemente, de conduta terapêutica, se mal interpretados aos exames citológicos, de biópsia ou em método de congelação durante o ato cirúrgico.
INTRODUÇÃO
A experiência adquirida em longos anos dedicados à patologia óssea levou-nos à preocupação, cada vez maior, com o diagnóstico diferencial das doenças do aparelho locomotor, sob seus diversos aspectos. Em virtude do grande número de lesões com células gigantes multinucleadas que acarretam freqüentes dificuldades no diagnóstico histológico, propomo-nos a abordar este tema(1,2).
O procedimento usual para diagnóstico é a biópsia. O exame citológico de material obtido por punção com agulha fina e o método de congelação durante o ato cirúrgico também são utilizados. Nada temos contra qualquer método, desde que seja suficientemente bom que permita elucidar os casos. Qualquer um deles, porém, tem suas indicações e limitações, motivo pelo qual deve sempre ser bem interpretado e avaliado por clínicos, cirurgiões e anatomopatologistas.
O ideal seria a formação de equipe multidisciplinar em que o ortopedista, o profissional de imagem, o cintilografista, o laboratorista, o oncologista e o anatomopatologista, em benefício do doente, estudem cada caso para conduta adequada. No entanto, essas equipes são possíveis somente nos grandes centros ou em hospitais de ensino e, mesmo assim, são raras em nosso meio.
Nossa experiência tem demonstrado a dificuldade para diagnóstico, quando o patologista se considera auto-suficiente e procura resolver os casos pelo exame de pequena quantidade de material, com escassa ou nenhuma informação e, às vezes, procura auxílio num exame radiográfico. A dificuldade histológica aliada à inexperiência na interpretação da imagem poderá agravar a possibilidade de erro. Concluí-lo apenas com punção de agulha fina, então, poderá levar a conseqüências desastrosas. O exame em congelação durante o ato cirúrgico, pela ânsia de fornecer diagnóstico rápido, muitas vezes por insistência do cirurgião ou por não querer contrariá-lo, também é causa de erro, por ser desnecessariamente feito às pressas. São raras as lesões ósseas que permitem diagnóstico por esse método.
As células gigantes multinucleadas, com caracteres de osteoclastos, estão normalmente presentes quando da reabsorção óssea fisiológica(3). São grandes, com 50 micra ou mais, com variável número de núcleos que ocupam o centro da célula e, quando em condições fisiológicas de reabsorção óssea, correspondem a sincícios de osteoblastos. Situam-se nas margens das traves ósseas, em "lacunas de Howship". Agem por estímulo do hormônio da paratiróide e produzem enzimas (colagenase e hialuronidase). Aumentam numericamente em condições de reabsorção óssea exacerbada ou em processos patológicos.
MATERIAL ]
Este trabalho é resultado da experiência obtida no Registro de Patologia Óssea dos Departamentos de Patologia e de Ortopedia e Traumatologia da Faculdade de Ciências Médicas da Santa Casa da São Paulo, onde estão arquivados cerca de 4.550 tumores estudados durante cerca de 30 anos.
Células gigantes semelhantes aos osteoclastos, embora irregulares e com maior número de núcleos, estão presentes em numerosos processos patológicos tumorais, metabólicos, inflamatórios e outros. Passaremos a designá-las "células gigantes multinucleadas"(2,4), independentemente de sua natureza, nas seguintes entidades:
° Pseudoneoplásicas
° Cisto ósseo simples
° Cisto ósseo aneurismático
° Tumor marrom do hiperparatiroidismo
° Defeito fibroso cortical/fibroma não ossificante
° Granuloma central (reparador de células gigantes)/que-rubismo)
° Granuloma de células de Langerhans (granuloma eosinófilo da histiocitose X)
° Displasia fibrosa
° Miosite ossificante
° Neoplasias benignas
° Osteoma osteóide/osteoblastoma
° Condroblastoma
° Fibroma condromixóide
° Tumor gigantocelular (osteoclastoma)
° Neoplasias malignas
° Osteossarcomas, variante teleangectásica
° Fibro-histiocitoma maligno
° Metástases de carcinoma
° Articulares
Tumor de células gigantes de bainha de tendão (tenossinovite nodular)
° Sinovite vilonodular pigmentada
° Artrite reumatóide
° Outros
Doença de Paget
Pseudoneoplásicas
Cisto ósseo simples: lesão óssea metafisária em óssos longos, com manifestação predominante nas duas primeiras décadas da vida que, aliada ao aspecto radiográfico, na maioria das vezes é facilmente diagnosticada. O diagnóstico será feito com simples punção para esvaziar o cisto ou, se indicado, o procedimento cirúrgico onde será evidenciada ampla cavidade repleta de líquido. No entanto, são freqüentes os casos atípicos operados por fratura, hemorragia intracavitária, localizados na diáfise, em óssos chatos ou outras eventualidades que poderão dificultar o diagnóstico. O cirurgião deverá cure-tar a membrana que reveste o cisto, a fim de evitar possível recidiva. O exame microscópico do material obtido evidenciará faixa fibrosa por vezes hialinizada em meio à qual, com freqüência, existem células gigantes multinucleadas isoladas ou aglomeradas de modo irregular(5). O diagnóstico anatomopatológico diferencial com outros processos com células gigantes multinucleadas, particularmente com tumor gigantocelular, é possível.
Cisto ósseo aneurismático: existem múltiplas cavidades irregulares repletas de sangue, delimitadas por septos de tecido conjuntivo ao longo dos quais são numerosas as células gigantes(5,6). O diagnóstico de biópsia é às vezes particularmente difícil (fig.1). Trata-se de processo pseudoneoplásico de localização e faixa etária variáveis. Comumente tem comportamento clínico e radiográfico agressivo. Com freqüência coexiste com neoplasias benignas como o condroblastoma, o osteoblastoma, tumor gigantocelular e, também, com neoplasias malignas, principalmente com o osteossarcoma teleangectásico. Em diversos casos pessoais ou de consulta, embora com diagnóstico anatomopatológico correto, o local biopsiado não permitiu reconhecer a concomitância com outro processo, somente diagnosticado com a evolução do caso. Embora sem caracterizar erro de diagnóstico, o exame anatomopatológico agiu como complicador. Temos alertado os ortopedistas quanto aos cuidados que devemos ter na interpretação de casos que apresentam o enganoso aspecto dessa entidade.
Tumor marrom: é freqüente nos estádios avançados do hi-perparatiroidismo(7). Por tratar-se de doença óssea metabólica, em sua forma primária desencadeada por adenoma da paratiróide, o diagnóstico será feito com exames bioquímicos no sangue (hipercalcemia e hipofosfatemia) e na urina (hiperfosfatúria), complementados com dosagem sanguínea do pa-ratormônio(8). Trata-se de doença de evolução progressiva, que em seus estádios iniciais é pouco diagnosticada, motivo pelo qual muitas vezes o paciente somente será submetido a tratamento depois de diversas fraturas e cálculos, já com alterações próprias da "osteíte fibrocística generalizada" - doença de Von Recklinghausen dos ossos. Nessa fase são comuns os chamados "tumores marrons", lesão osteolítica de localização variada, cuja cor se deve a acúmulos de hemossiderina - pigmento férrico, produto da desintegração de hemácias em hemorragias pregressas. Esse pigmento é fagocitado por macrófagos e está sempre presente nos focos onde houve a reabsorção óssea com numerosas células gigantes multinucleadas. O aspecto microscópico muitas vezes é indistinguível do tumor gigantocelular, no qual também existem restos hemorrágicos com hemossiderina(5,9). O exame por punção, congelação durante o ato cirúrgico ou por biópsia, poderá levar a falso diagnóstico dessa neoplasia, com desastrosas conseqüências para o paciente.

Defeito fibroso metafisário cortical: freqüente nas duas primeiras décadas da vida, localizado mais freqüentemente na metáfise distal do fêmur e proximal e distal da tíbia. Não apresenta sintomas clínicos e muitas vezes é diagnóstico quando aparece como falha óssea cortical em radiografias por qualquer motivo tiradas. Embora não tenha indicação cirúrgica, pois corresponde apenas a defeito de modelagem óssea, que em geral regride com a consolidação do esqueleto, esse procedimento é realizado por ignorância do processo ou por insistência da família. Histologicamente, o osso cortical é substituído por característica proliferação fibroblástica com fibras colágenas em feixes entrelaçados, em meio aos quais existem aglomerados de células xantomatosas (macrófagos com ésteres de colesterol) e freqüentes células gigantes multinucleadas (fig. 2). O exame anatomopatológico poderá induzir a erro, com falso diagnóstico de displasia fibrosa, fibroma condromixóide ou mesmo de tumor gigantocelular.
A indicação cirúrgica estará reservada aos casos que evoluem e o processo assume aspecto tumoral, o chamado fibroma não ossificante, cujo aspecto histológico repete os caracteres do defeito fibroso, com as mesmas possibilidades de erro ao exame anatomopatológico.
Granuloma central (reparador de células gigantes)(4,10,11): lesão óssea da mandíbula ou dos maxilares, inicialmente periapical dentária, com numerosas células gigantes multinucleadas dispostas de modo irregular em meio a estroma inflamatório com capilares congestos, macrófagos e infiltrado de linfócitos, com maior ou menor quantidade de proliferação fibrosa reparadora e restos hemorrágicos com acúmulos de macrófagos com hemossiderina(6). As células gigantes podem predominar no aspecto histológico e o diagnóstico diferencial com verdadeiro tumor de células gigantes cada vez mais será difícil e, às vezes, impossível(12,13). Ambos têm tendência a crescer e atingir grandes volumes, às vezes substituindo toda a estrutura do osso(14). Não raramente, a conclusão por tumor gigantocelular depende mais da agressividade do comportamento clínico e evolução do que do exame microscópico.
Esse processo é freqüente nas alterações observadas no querubismo(15-17). Pelas características faciais do paciente o diagnóstico poderá ser feito. Se biopsiados, as mesmas possibilidades de diagnóstico diferencial devem estar presentes.
Granuloma de células de Langerhans (histiocitose X)(5, 18,19): mais conhecido como granuloma eosinófilo, a lesão em geral é óssea, solitária, na maioria das vezes na primeira década de vida, de localização craniana, vertebral, em ossos chatos ou em diáfise de ossos longos. Na coluna predomina no corpo vertebral, que pode reduzir de volume e achatar, assumindo os caracteres radiográficos da chamada "vertebra plana de Calvet". Clinica e radiograficamente deve ser diferenciado da osteomielite e do sarcoma de Ewing. A biópsia é a conduta para o diagnóstico. Em meio a aglomerados de eosinófilos e células de Langerhans, que têm natureza histiocitária e são normalmente apresentadoras de antígenos, existem freqüentes células gigantes multinucleadas. A presença destas células faz com que o patologista tenha redobrada sua atenção para possível falso diagnóstico de outras lesões ósseas.
Displasia fibrosa(16): mono ou poliostótica, mais freqüente em adolescentes, apresenta aspectos de imagem às vezes de difícil diagnóstico. No exame microscópico observa-se proliferação fibrosa com traves osteóides irregularmente dispostas e grupos de células gigantes multinucleadas. Em pequenos fragmentos, haverá possibilidade de erros de interpretação diferencial com tumor gigantocelular, defeito fibroso cortical e fibroma não ossificante.
Miosite ossificante(20): processo de partes moles, situado nas proximidades de ossos, mais comum em massas musculares. Em geral é conseqüência de lesão traumática pregressa com hemorragia que se organizou, progressivamente substituída por proliferação fibrosa desordenada com variável número de células gigantes multinucleadas. Em virtude da desordem da proliferação fibroblástica com polimorfismo e hipercromasia de núcleos, o aspecto histológico é passível de confusão com neoplasia maligna mesenquimal. Os aglomerados de células gigantes multinucleadas podem levar a falso diagnóstico de tumor gigantocelular. Com o avançar do tempo esse processo evolui para calcificação e progressiva ossificação metaplásica que, caracteristicamente, se faz da periferia para o centro do processo. Esse conhecimento básico é de suma importância para o diagnóstico diferencial, pois, no ato da colheita do material para biópsia, o cirurgião tem sensação semelhante à que teria ao puncionar um ovo, com a periferia densa, de consistência calcária e a porção central mole e friável. No fragmento de biópsia haverá necessidade de informação ao patologista, quanto à porção periférica e central do material colhido(21). No osteossarcoma, pelo contrário, a ossificação ocorre do centro para a periferia.

Neoplasias benignas
Condroblastoma: neoplasia própria da segunda década da vida, em epífise de óssos longos, mais freqüente na extremidade proximal do úmero, distal do fêmur e proximal da tíbia.
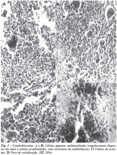
É a neoplasia que histologicamente mais se assemelha ao tumor gigantocelular, do qual foi descartado por Codman(22), que a designou "tumor gigantocelular epifisário calcificado". Predominam células gigantes multinucleadas em meio a estroma de células arredondadas com caracteres de condroblastos, com áreas onde há produção de tecido cartilaginoso e focos irregulares de calcificação, que no início contorna restos de células do estroma, assumindo o chamado aspecto de "calcificação em tela de galinheiro" (fig. 3).
Osteoma osteóide e osteoblastoma(23): são neoplasias histologicamente semelhantes, embora com comportamentos clínico e radiográfico distintos. O exame radiográfico do osteoma osteóide se manifesta como pequeno nódulo radiolúcido bem delimitado, conhecido como "ninho", comum em metáfise ou em epífise de óssos longos. Predomina nas três primeiras décadas da vida. Quando em situação cortical de óssos longos, o "ninho" fica circundado por densa esclerose reacional, que não ocorre quando em osso esponjoso ou subperiostal. O osteoblastoma é mais freqüente na coluna vertebral, não tem limites precisos e pode assumir caráter invasivo, às vezes simulando tumor maligno na forma chamada "osteoblastoma agressivo"(5).
Ambos apresentam idêntico aspecto microscópico, pois são constituídos por traves osteóides irregularmente mineralizadas circundadas por rica trama vascular capilar e por osteoblastos e freqüentes células gigantes multinucleadas. A predominância destas células em alguns campos poderá eventualmente levar a falso diagnóstico de tumor gigantocelular em exame citológico ou em biópsia. Na forma de osteoblastoma agressivo é maior a dificuldade de diagnóstico diferencial com osteossarcoma(16).

Fibroma condromixóide(5): neoplasia benigna mais freqüente nas segunda e terceira décadas da vida, em metáfise de óssos longos. Radiograficamente se apresenta como lesão osteolítica em geral excêntrica, internamente bem demarcada por faixa de maior densidade por esclerose óssea reacional. As células gigantes variam em número e situam-se na periferia dos lóbulos de tecido mixóide, em meio aos septos fibrosos (fig. 4). Pequenos fragmentos de biópsia nessas áreas podem levar levar a falso diagnóstico microscópico.
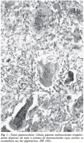
Tumor gigantocelular: neoplasia mais freqüente entre os 20 e 40 anos de idade, de localização epífisaria em ossos longos, menos comum em ossos curtos e chatos. Freqüente nas extremidades proximal da tíbia, distal do fêmur e distal do rádio. Em sua estrutura histológica predominam células gigantes maiores do que o osteoclasto, com numerosos núcleos, às vezes mais de cem, situados em desordem na porção central, formando sincício(5,14). O estroma é constituído por células mononucleadas cujos núcleos se assemelham aos dos gigantócitos (fig. 5). Não raramente existem áreas de fibrose com células xantomatosas, congestão vascular e hemorragias recentes e antigas, estas caracterizadas por aglomerados de macrófagos com hemossiderina.
Dentre os processos que evidenciam, ao exame microscópico, células gigantes multinucleadas, esta neoplasia é a mais freqüentemente diagnosticada erroneamente. Como regra geral, todo processo cuja biópsia resultou em tumor gigantocelular, abaixo dos 20 e acima dos 40 anos, ou quando não epifisário, deverá sempre ser cuidadosamente reavaliado para conclusão sob aspectos clínico-radiográficos e anatomopatológicos. Em raros casos poderá comportar-se como maligno com metástases pulmores, independentemente do aspecto histológico. Em pessoas idosas, pode estar associado à doença de Paget.

Neoplasias malignas
Osteossarcoma teleangectásico: neoplasia maligna que mais freqüentemente apresenta dificuldade de diagnóstico microscópico pela possível concomitância com áreas de cisto ósseo aneurismático e pela constância da presença de grande número de células gigantes multinucleadas que simulam tumor gigantocelular(5,12,24). A presença de osteóide circundado por osteoblastos atípicos ao longo dos septos que delimitam as lacunas vasculares permite diagnóstico diferencial, apesar da semelhança com o cisto ósseo aneurismático. O exame histológico deverá ser muito cuidadoso. Em nossa experiência tivemos casos que, somente depois de várias biópsias e, principalmente, pela evolução maligna do processo, pudemos concluir por osteossarcoma. Foram sumamente desagradáveis por acarretar de-mora na conduta terapêutica e pela incompreensão de colegas nem sempre afeitos às dificuldades do patologista nessas eventualidades e, principalmente, pelos dissabores provocados aos familiares. Insistimos em que os diagnósticos de cisto ósseo aneurismático e de tumor gigantocelular, não só pela concomitância de aspectos como pelas dificuldades histológicas que apresentam, devem sempre ser muito bem avaliados antes de qualquer conduta terapêutica.
Fibro-histiocitoma maligno(12): quando intra-ósseo não apresenta aspectos clínico-radiográficos bem definidos.
Não tem localização preferencial e apresenta comportamento comum a outras neoplasias malignas. É a biópsia que permitirá diferenciá-lo de outros tumores. A neoplasia que a ele mais se assemelha é o fibrossarcoma, no qual estará presente apenas o componente fibroblástico com atipias, em meio a variável quantidade de fibras colágenas. No fibro-histiocitoma maligno o componente de células histiocitárias atípicas é acentuado, acompanhado de proliferação fibroblástica com variável quantidade de fibras colágenas. Com freqüência, os feixes de células neoplásicas assumem o clássico arranjo em turbilhões, chamado "aspecto estoriforme" (fig. 6). As células gigantes multinucleadas estão usualmente presentes e, às vezes, são numerosas, tornando-o por vezes indistinguível do tumor gigantocelular.

Metástases osteolíticas de carcinoma: com maior freqüência esta forma de metástases nos ossos é originária da mama e do pulmão. A osteólise não depende exclusivamente de atividade dos osteoclastos, pois deve-se principalmente à concentração de células neoplásicas, pelo seu rápido crescimento e pelo distúrbio circulatório que provocam. Nesse particular, metástases de hepatocarcinoma, de células claras do rim e do carcinoma folicular da tiróide apresentam intensa hiperemia ativa, que é responsável pela intensa reabsorção óssea com caracteres altamente destrutivos bem evidenciados aos exames de imagem e anatomopatológico(25). Eventuais aglomerados de células gigantes multinucleadas em torno de traves ósseas em reabsorção em biópsias ou em exames citológicos poderão levar a erros de interpretação microscópica.

Articulares
Tumor de células gigantes de bainha de tendão, conhecido também como fibroxantoma ou tenossinovite nodular e sinovite vilonodular pigmentada(9,26): são processos histológicamente semelhantes, mas de comprometimento clínico e radiográfico distintos. O tumor de células gigantes de bainha de tendão se comporta como nódulo bem delimitado, mais freqüente no punho e justatendinoso nos dedos da mão. A sinovite vilonodular pigmentada, por sua vez, é mais comum no joelho, no quadril e no punho ou outras articulações. Esse pro-cesso diferencia-se pela maior exuberância do quadro clínico e das alterações radiográficas pelo comprometimento dos os-sos vizinhos. Sob aspectos anatomopatológicos correspondem a processos proliferativos, macroscopicamente diferentes quantitativamente. No primeiro, o nódulo é bem delimitado, esbranquiçado e homogêneo na superfície de corte. No outro existem múltiplos nódulos aderentes entre si ao lado de saliências vilosas irregulares no tamanho com três cores mais ou menos distintas, áreas brancas ao lado de outras amarelas e pigmentação marrom acentuada, em virtude da qual tem o nome de sinovite vilonodular pigmentada. Os dois processos apresentam idêntico aspecto histológico, pois em meio à proliferação fibroblástica em feixes entrelaçados existem aglomerados de células xantomatosas (macrófagos com ésteres de colesterol), com regular número de células gigantes multinucleadas. Na sinovite vilonodular a pigmentação acentuada deve-se a aglomerados de macrófagos com hemossiderina, pigmento de cor marrom resultante de hemorragia pregressa.
A presença das células gigantes multinucleadas em ambos os processos pode levar a falso diagnóstico com outras entidades em que essas células estão presentes em exames citológicos, de biópsia ou por método de congelação durante o ato cirúrgico.
Artrite reumatóide: em sua fase crônica, o exame anatomopatológico das lesões articulares dessa doença mostra acentuada fibrose, agregados linfóides com caracteres dos chamados "nódulos de Ghormley" e células gigantes multinucleadas, isoladas ou em aglomerados irregulares em meio à camada de sinoviócitos hiperplásicos(27).
Doença de Paget
Incide em adultos, em geral acima de 50 anos, com manifestação de dor óssea progressivamente deformante, mono ou poliostótica. Inicia-se com acentuada hiperemia ativa intraóssea que, sob aspectos radiográficos, se manifesta com rarefação na cabeça, conhecida como "osteoporose circunscrita craniana". As alterações decorrentes da hiperemia podem chegar a cem vezes o normal e, por sua intensidade, acarretar insuficiência circulatória geral. É a chamada "fase osteolítica" da doença de Paget. É de difícil tratamento. As alterações das modificações da estrutura óssea decorrem do desarranjo dos mecanismos de aposição e reabsorção, com maior e irregular densidade radiográfica do osso comprometido. O turnover alterado tem como substrato histológico a irregularidade da espessura das traves ósseas com nítida atividade osteoblástica nas margens. Ao longo dessas traves, em virtude da aposição osteóide irregular, aumentam numéricamente as "linhas de cimento" que marcam as faixas de osteóide apostas sobre as antigas e assumem arranjo característico, "em mosaico". Além disso, há proliferação fibrosa intertrabecular e aglomerados de osteoclastos, substrato da reabsorção às vezes numerosos, nas chamadas "frentes de reabsorção". É a "fase condensante" da doença de Paget. As alterações microscópicas repercutem na morfologia macroscópica dos ossos e, por conseguinte, no aspecto radiográfico(28). Em virtude da freqüência com que são indicadas biópsias com a finalidade de diagnóstico diferencial com metástases ósseas condensantes, particularmente com o carcinoma da próstata, não raramente o material colhido evidencia aglomerados de células gigantes passíveis de confusão histológica com outras entidades também ricas dessas células.
DISCUSSÃO
Com as considerações acima, pretendemos chamar a atenção de clínicos e anatomopatologistas sobre as dificuldades com que muitas vezes nos deparamos em nossa longa experiência vivida no dia-a-dia da anatomia patológica neste difícil ramo da patologia óssea.
Abordamos apenas uma das múltiplas possibilidades de diagnóstico diferencial, que é o grupo de entidades que têm em comum a célula gigante multinucleada, em sua estrutura histológica.
Sabemos que, em sua maioria, cada uma delas tem caracteres clínicos e aspectos de imagens em geral bem definidos e a biópsia permite confirmá-los. Nossa preocupação é com os casos, também freqüentes, que se manifestam de maneira atípica, dificultando a interpretação histológica. Ou quando a histopatologia é de difícil interpretação, discordante do quadro clínico-radiográfico.
Faz parte da cultura médica em nosso meio serem enviadas biópsias aos patologistas "a esclarecer", sem dados clínicos, muitas vezes sem referir idade, cor, sexo e localização da lesão.
Esses fatores, isolados ou em conjunto, têm contribuído para erros que, infelizmente, são freqüentes.
Os médicos, em geral, devem reconhecer que o patologista, além de não ter o dom de adivinhar, depara com ramo da patologia que exige muita experiência, dedicação e estudo por sua complexidade e inúmeras possibilidades de diagnóstico diferencial.
Não temos a pretensão de esgotar o assunto. O objetivo é apenas chamar a atenção daqueles colegas de diversas especialidades que, por não estarem afeitos à patologia óssea, poderão incorrer em erros muitas vezes irreparáveis.

Todos nós, no dia-a-dia do exercício de nossa profissão, estamos sujeitos a enganos, não só nesta como em qualquer outra especialidade, por convivermos com o imponderável e o imprevisível que é a Medicina e com a facilidade com que somos com freqüência julgados e incompreendidos. O esforço deve sempre dirigir-se para que erremos o menos possível. É a intenção que norteou este trabalho.
O quadro sinóptico (quadro 1) resume as alterações principais de cada um dos processos que foram objeto de nossas considerações.
CONCLUSÕES
Diversos processos patológicos osteoarticulares têm em comum a presença da célula gigante multinucleada, o osteoclasto ou semelhante, em sua estrutura histológica.
A célula gigante multinucleada não deve ser critério para diagnóstico nos exames citológicos, histológicos ou por método de congelação durante o ato cirúrgico.
O diagnóstico deve basear-se no conjunto e no arranjo dos elementos presentes nos métodos de exame microscópico.
Na dúvida, a complementação com dados clínicos, a idade, a localização da lesão e os aspectos de imagens, em estudo multidisciplinar, devem ser levados sempre em conta para a conclusão de cada caso.
REFERÊNCIAS
1. Dorfman H.D., Czernik B.: "Giant-cell lesions" in Bone tumors. Mis- souri, Mosby, cap. 10, p.p. 559-606, 1997.
2. Park W.W.: "Lesions of the soft tissues" in The histology of borderline cancer. New York, Springer-Verlag, cap. 6, p. 250, 1980.
3. Bullough P.G.: "Normal bone structure and development" in Ortho- paedic pathology. Barcelona, Mosby-Wolfe, cap. 1, p.p. 1-29, 1997.
4. Jaffe H.L., Lichtenstein L., Portis R.B.: Giant cell tumor of bone. Its pathologic appearance, grading supposed variants and the treatment. Arch Pathol 30: 593-1031, 1952.
5. Schajowicz F.: "International histological classification of tumours" in Histological typing of bone tumours. Berlin, Springer-Verlag, 1993.
6. Ruiter D.J., van Rijssel Th.G., van der Welde E.A.: Aneurysmal bone cysts. Cancer 39: 2231-2239, 1977.
7. Chew F.S., Huang-Hellinger F.: Brown tumor. Am J Roentgenol 160: 752, 1993.
8. Bardin T.: Primary hyperparathyroidism. Clinical, epidemiologic and hystological aspect. Ann Endocrinol (Paris) 55: 143-146, 1994.
9. Schajowicz F.: "Lesiones seudotumorales" in Tumores e lesiones seu- dotumorales de huesos y articulaciones. Buenos Ayres, Panamericana, cap. 9, p. 426, 1982.
10. Austin L.T., Dahlin D.C., Royer R.Q.: Giant cell reparative granuloma and relating conditions affecting the jaw bones. Oral Surg 12: 1285- 1295, 1959.
11. Rosai J.: "Mandible and maxille" in Ackerman's surgical pathology. St. Louis (USA), Mosby, cap. 6, p. 259, 1996.
12. Enzinger F.M., Weiss S.W.: "Malignant fibrohistiocytic tumors" in Soft tissue tumors. Missouri, Mosby, cap. 15, p.p. 351-380, 1995.
13. Huvos A.G.: "Giant cell tumor of the craniofacial bones. Gigant cell "reparative" granuloma of jaw bones" in Bone tumors, Philadelphia, W.B. Saunders, cap. 18, p.p. 292-296, 1981.
14. Jaffe H.L.: Giant cell tumor (osteoclastoma) of bone. The pathologic delimitation and the inherent clinical implications. Ann Coll Surg 13: 343-355, 1952.
15. Burland J.G.: Cherubism: familial bilateral osseous dysplasia of the jaws. Oral Surg 15 (Suppl 2): 43-68, 1962.
16. Jaffe H.L.: Giant cell reparative granuloma, traumatic bone cyst and fibrous (fibro-osseus) displasia of jaw bones. Oral Surg 6: 159-175, 1953.
17. McClendon J.L., Anderson D.E., Cornelius E.A.: Cherubism-heredi- tary fibrous displasia of the jaws. II. Pathologic considerations. Oral Surg 15 (Suppl 2): 17-42, 1962.
18. Jaffe H.C., Lichtenstein H.: Eosinophilic granuloma of bone. Arch Pathol 37: 99-118, l944.
19. Schajowicz F.: Eosinophilic granuloma of bone and its relationship to Hand-Schuller-Christian and Letterer Siwe syndromes. JAMA 55B (nº 3), 545-563.
20. Enzinger F.M., Weiss S.W.: "Osseous soft tissue tumors" in Soft tissue tumors. Missouri, Mosby, cap. 36, p.p. 1013-1038, 1995.
21. Anggerall L., Steiner L., Ahren C.C.: Pseudomalignant osseous tumor soft tissue. J Bone Joint Surg [Br] 51: 564, 1969.
22. Codman E.A.: Epiphyseal chondromatous giant cell tumor of the up- per end of the humerus. Surg Gynecol Obstet 52: 543-548, 1931.
23. Schajowicz F., Lemos C.: Osteoid osteoma and osteoblastoma. Close- ly related entities of osteoblastic derivation. Acta Orthop Scand 41: 272-291, 1970.
24. Meis-Kindblon J.M., Enzinger F.M.: "Fibrohistiocytic tumors" in Color atlas of soft tissue tumor. St. Louis (USA), Mosby-Wolfe, cap. 2, p.p. 64-70, 1996.
25. Próspero J.D.: Alterações da estrutura óssea nas metástases de neoplasias. Estudo realizado em calotas cranianas, correlacionando aspectos anatomopatológicos com os radiográficos.Tese de doutorado, Escola Paulista de Medicina, São Paulo-Brasil, 1973.
26. Enzinger F.M., Weiss S.W.: "Benign tumors and tumorlike lesions of synovial tissue" in Soft tissue tumors. Missouri, Mosby, cap. 28, p.p. 735-756, 1995.
27. Fassbender P.G.: "Rheumatoid artrithis" in Pathology of rheumatic disease. Berlin, Springer-Verlag, cap. 5, p. 107, 1975.
28. Bullough P.G.: "Diseases resulting from disturbances in cell linkage" in Orthopaedic pathology. Barcelona, Mosby-Wolfe, cap. 7, p.p. 153- 177, 1997.
29. Spanier S.S., Enneking W.P., Enriquez P.: Primary malignant fibrous histiocytoma of bone. Cancer 36: 2084-2098, 1975.