Soft tissue response to dental implant closure caps made of either polyetheretherketone (PEEK) or titanium
Link: https://onlinelibrary.wiley.com/doi/abs/10.1111/clr.13487
Clinical Oral Implants Research
Jordi Caballé‐Serrano Vivianne Chappuis Alberto Monje Daniel Buser Dieter D. Bosshardt
First published: 24 May 2019 https://doi.org/10.1111/clr.13487
Abstract
Objective
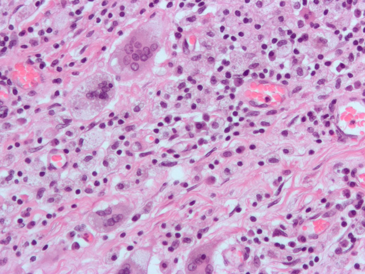
Polyetheretherketone (PEEK) is a popular synthetic thermoplastic polymer for medical applications, but its clinical use suffers from several limitations. Therefore, the aim was to compare the soft tissue response to dental implant closure caps made of PEEK or titanium as evaluated by the occurrence of multinucleated giant cells (MNGCs).
Material and methods
Forty‐two implants were placed in the maxilla of seven miniature pigs. While commercially pure titanium (Ti) implants had a Ti closure cap, ceramic implants made of either zirconia (Zr) or alumina‐toughened zirconia (Zr + Al) received a PEEK closure cap. Histomorphometry was performed to evaluate the number of small and large MNGCs being in contact with the PEEK or the Ti in different compartments of the implant systems.
Results
No histological signs of inflammation were noticed, and MNGCs were observed on both PEEK and Ti closure caps and on all three implant types. Significantly higher numbers of MNGCs were found on closure caps made of PEEK than on closure caps made of Ti on the external closure cap surface facing both soft (p = 0.0008 for PEEK on Zr and p = 0.0016 for PEEK on Zr + Al) and hard tissues (p = 0.016 for PEEK on Zr and p = 0.003 for PEEK on Zr + Al) as well as in the internal closure cap surface (p = 0.014 for PEEK on Zr and p = 0.0088 for PEEK on Zr + Al). No statistically significant differences in the number of MNGCs were observed on the three implant types.
Conclusions
Significantly more MNGCs were in contact with PEEK than with Ti closure caps.

Obs: A giant cell is a multi-nucleus mass formed from the macrophage union that often forms granulomas. Around this cell is a layer of fibroblasts, which over time deposit collagen, replacing the entire granuloma with a myelinated scar.
Diseases associated with large multinucleated cells:
Osteoclast-like giant cells, although irregular and with a larger number of nuclei, are present in numerous tumoral, metabolic, inflammatory and other pathological processes. We will refer to them as "multinucleated giant cells", regardless of their nature, in the following entities:
° Pseudoneoplastic
° Simple bone cyst
° Aneurysmal bone cyst
Brown Tumor of Hyperparathyroidism
° Cortical fibrous defect / non-ossifying fibroma
° Central granuloma (giant cell repairer)
Langerhans cell granuloma (histiocytosis X eosinophilic granuloma)
° Fibrous dysplasia
° Ossifying myositis
Benign Neoplasms
Osteoid osteoma / osteoblastoma
Chondroblastoma
Chondromyxoid fibroma
Gigantocellular tumor (osteoclastoma)
° Malignant neoplasms
° Osteosarcomas, teleangectatic variant
Malignant fibrohistiocytoma
° Carcinoma metastases
° Articular
° Giant tendon sheath cell tumor (nodular tenosynovitis)
° Pigmented villonodular synovitis
° Rheumatoid arthritis
° Others
° Paget's disease
Link: http://www.rbo.org.br/detalhes/247/pt-BR/doencas-osseas-com-celulas-gigantes-multinucleadas-