Lesões periapicais em áreas com implantes dentários
Link: http://inpn.com.br/ProteseNews/Materia/Index/132405
Autor: Dr. Guaracilei Maciel Vidigal Júnior
Lesões periapicais nos implantes em função são raras no dia a dia da clínica (entre 0,26% e 2,7%). Abaixo, são citadas as causas mais comuns.,
Em áreas não infectadas:
- Osteotomias em profundidades maiores do que o comprimento do implante;
- Aquecimento do osso durante a osteotomia do leito;
- Ápices de implantes posicionados em áreas de cicatriz ou fibrose de cirurgias paraendodônticas;
- Pouca espessura óssea vestibular ou lingual, após a instalação do implante.
Em áreas infectadas:
- Contaminação do implante ou do leito ósseo durante a cirurgia;
- Presença de restos radiculares ou materiais obturadores usados em Endodontia;
- Proximidade do ápice do implante de áreas infectadas, como lesões periapicais em dentes vizinhos ou de seios maxilares infectados.
As lesões periapicais em implantes podem ser assintomáticas, quando o único sinal presente é uma área radiolúcida na região apical. As lesões periapicais ativas poderão apresentar alguns dos seguintes sintomas:
- Na mucosa: sensibilidade à palpação, edema, vermelhidão e fístula.
- No osso: aumento da área radiolúcida apical.
A evolução de uma lesão inativa para ativa se explica pela contaminação bacteriana. No caso das lesões ativas, se o tratamento não for realizado, poderão se estender para o terço médio e cervical do implante, resultando em sua perda.
O tratamento das lesões periapicais em áreas com implantes dentais tem como objetivo primário a eliminação da infecção, e posterior regeneração do osso peri-implantar.
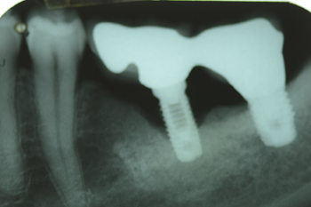
No caso clínico relatado nesta edição, o paciente apresentava sensibilidade à palpação, vermelhidão, edema e fístula na região apical do implante, e aumento progressivo da área radiolúcida apical, três meses após a colocação do implante em função (Figura 1).
O protocolo medicamentoso prescrito foi Clavulin 500 mg (de oito em oito horas, durante 12 dias), iniciando 48 horas antes da cirurgia; Ibuprofeno 600 mg (de oito em oito horas, durante três dias); Tylenol 750 mg (de oito em oito horas, em caso de dor); e Perioxidin gel, aplicado na área após as refeições durante 14 dias.
Após dois dias de uso do antibiótico, antes da cirurgia, a fístula havia regredido (Figura 2). O acesso cirúrgico foi feito através de uma incisão na linha mucogengival (Figura 3).
Em seguida, o tecido mole inflamado ao redor do implante foi removido e a superfície do implante jateada com spray de bicarbonato de sódio sob alta pressão, durante um minuto (Figura 4A), para descontaminação.
Após o jateamento, a superfície do implante e a área ao redor foram lavadas profusamente com solução fisiológica. A região foi enxertada com osso mineral bovino (Figura 4B) e coberta com uma dupla camada de membrana absorvível de colágeno (Figura 4C). Um enxerto de tecido conjuntivo foi posicionado sobre a área antes da sutura.
A Figura 5 mostra o controle clínico após nove meses. A Figura 6 mostra o controle tomográfico do tecido ósseo neoformado após sete meses.

Figura 1 – Visão panorâmica e corte oblíquo-sagital da região do implante.

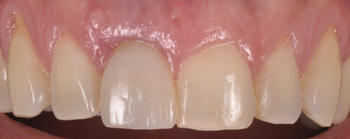
Figura 2 – Aspecto clínico previamente ao tratamento cirúrgico.

Figura 3 – Acesso cirúrgico à área da lesão periapical.

Figuras 4 – A. Jateamento da superfície do implante com spray de bicarbonato de sódio sob alta pressão. B. Enxerto com osso mineral bovino. C. Colocação da barreira de membrana para promoção de regeneração óssea guiada.

Figura 5 – Aspecto clínico após nove meses.

Figura 6 – Aspecto do osso apical regenerado após sete meses.
Referências
• Novaes Jr. AB, Vidigal Jr. GM, Novaes AB, Grisi MF, Polloni S, Rosa A. Immediate implants placed into infected sites: a histomorphometric study in dogs. Int J Oral Maxillofac Implants 1998;13(3):422-7.
• Novaes Jr. AB, Marcaccini AM, Souza SL, Taba Jr. M, Grisi MF. Immediate placement of implants into periodontally infected sites in dogs: a histomorphometric study of bone-implant contact. Int J Oral Maxillofac Implants 2003;18(3):391-8.
• Wiskott HW, Dubrez B, Scherrer SS, Belser UC. Reversible and irreversible peri-implant lesions: report and etiopathogenic analysis of 7 cases. J Oral Implantol 2004;30(4):255-66.
• Chan HL, Wang HL, Bashutski JD, Edwards PC, Fu JH, Oh TJ. Retrograde peri-implantitis: a case report introducing an approach to its management. J Periodontol 2011;82(7):1080-8.
• Zhou Y, Cheng Z, Wu M, Hong Z, Gu Z. Trepanation and curettage treatment for acute implant periapical lesions. Int J Oral Maxillofac Surg 2012;41(2):171-5.
• Penarrocha-Diago M, Maestre-Ferrín L, Penarrocha- Oltra D, Canullo L, Piatt elli A, Penarrocha- -Diago M. Infl ammatory implant periapical lesion prior to osseointegration: a case series study. Int J Oral Maxillofac Implants 2013;28(1):158-62.